Mix Conteúdos Digitais
  • Início
  • Últimas Notícias
  • Contato
  • PUBLICIDADE LEGAL
Mix Conteúdos Digitais
Sem resultados
Ver todos os resultados
Mix Conteúdos Digitais
Sem resultados
Ver todos os resultados

Aos 13 anos, adolescente se torna o primeiro do mundo a vencer câncer raro e agressivo

Por Pedro Silvini
02/03/2026
Em Geral
0
câncer cérebro

(Reprodução/Children's Hospital Colorado)

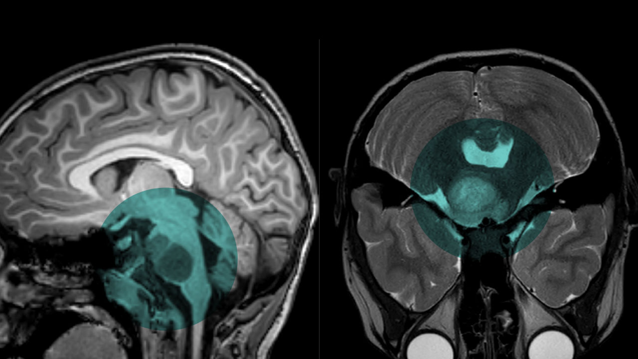
Um adolescente belga de 13 anos entrou para a história da medicina em 2024 ao se tornar o primeiro paciente do mundo considerado curado de um dos cânceres infantis mais agressivos já registrados: o glioma pontino intrínseco difuso (DIPG). O caso é tratado por especialistas como um marco científico no combate a tumores cerebrais pediátricos.

Lucas Jemeljanova foi diagnosticado aos 6 anos com o tumor, localizado no tronco cerebral — área vital responsável por funções como respiração e batimentos cardíacos. À época, os médicos informaram à família que ele provavelmente teria menos de um ano de vida.

O DIPG é raro, afeta principalmente crianças entre 4 e 6 anos e é considerado praticamente fatal. Menos de 10% dos pacientes sobrevivem por mais de dois anos após o diagnóstico. Até então, nunca havia sido registrada uma cura da doença.

Lucas Jemeljanova com a família (Reprodução/Upworth via Facebook)

Tratamento experimental mudou o prognóstico

Saúde pública

Vacina contra mpox 💉

Veja quem pode tomar no Brasil
Confira regras
X

Vacina contra mpox 💉

Confira regras

Após o diagnóstico, os pais de Lucas decidiram buscar alternativas e o levaram à França para participar do estudo clínico BIOMEDE, que testava medicamentos promissores contra o DIPG.

No ensaio, o adolescente foi selecionado para receber o everolimus, fármaco já utilizado no tratamento de outros tipos de câncer, como os de mama, rim e pâncreas, mas nunca antes aplicado contra esse tipo específico de tumor cerebral.

O medicamento atua bloqueando a proteína mTOR, responsável por estimular o crescimento e a multiplicação das células cancerígenas e a formação de novos vasos sanguíneos que alimentam o tumor. Ao inibir esse mecanismo, o remédio reduz o suprimento do câncer e impede sua progressão.

De forma surpreendente, o tratamento não apenas interrompeu o crescimento do tumor, como levou ao desaparecimento completo da doença.

Medicina personalizada foi decisiva

Pesquisadores acreditam que o tumor de Lucas apresentava uma mutação genética incomum, o que o tornou particularmente sensível ao tratamento aplicado. A terapia personalizada foi desenvolvida com base nas características específicas do câncer do adolescente.

Especialistas avaliam que o caso representa um divisor de águas na oncologia pediátrica. A recuperação de Lucas reforça o potencial da medicina de precisão — abordagem que adapta o tratamento ao perfil genético do paciente — como caminho para transformar o prognóstico de doenças consideradas incuráveis.

Impacto científico e esperança para famílias

O DIPG cresce rapidamente e atinge áreas extremamente delicadas do cérebro, o que dificulta cirurgias. Tratamentos convencionais, como quimioterapia e radioterapia, historicamente apresentaram resultados limitados.

A remissão completa registrada em 2024 não apenas representa uma vitória pessoal para Lucas e sua família, mas também oferece novas pistas para a comunidade científica. Pesquisadores agora estudam como replicar o sucesso em outros pacientes e identificar quais perfis genéticos podem responder melhor a terapias semelhantes.

O caso gerou repercussão internacional e foi celebrado por profissionais de saúde e famílias que convivem com o diagnóstico devastador.

Dúvidas, críticas ou sugestões? Fale com o nosso time editorial.
Pedro Silvini

Pedro Silvini

Jornalista com formação em Mídias Sociais Digitais, colunista de conteúdo social e opinativo. Apaixonado por cinema, música, literatura e cultura regional.

Próximo post
guerra irã

Veja qual a posição do Brasil na guerra entre Irã, EUA e Israel

Confira!

Dinheiro benefício aposentadoria Governo

Quanto ganha uma família considerada classe C no Brasil em 2026?

18/04/2026
inss

INSS toma decisão drástica para tirar o nome de aposentados do Serasa

18/04/2026
Imagem de JB por Pixabay

Enquanto muitos acreditam que a Lua é gelada, cientistas descobrem que ela pode ultrapassar os 100°C

18/04/2026
  • Contato

Diário do Comércio | Mix

Sem resultados
Ver todos os resultados
  • Contato

Diário do Comércio | Mix